Cabinet d'Orthodontie du Corsuet
Dr BARTHELET & Dr ABATTU
Cabinet d'Orthodontie du Corsuet

80 route des Gorges du Sierroz Immeuble Le Corsuet
73100 GRESY sur AIX

Dr BARTHELET & Dr ABATTU

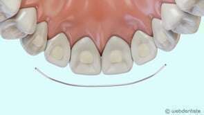
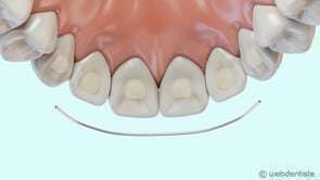
Fil de contention


video-play-icon

Création par Webdentiste

Connexion